Inspiration 128 Smart Large bore 128-slice CT Scanner (Regulatory Clearance Pending)

128 Slice*0.625mm high efficiency acquisition

Inspiration 128

Inspiration 128 slice CT scanner designed to deliver exceptional high-end image quality, efficiency, and versatility. This cutting-edge system satisfies a wide range of clinical contexts

Main Components

  • X Ray Tube 5.5 MHU
  • Generator 50.4kW
  • Detector 64 Rows – 128 Slices per rotation
  • Tilt range Mechanical tilt: ± 30° (step 0.5°)
  • Image Slice Thickness – 0,625mm
  • Rotation: 0.48sec, High quality image and save tube loss
Rainbow Platform

Low Dose + Hight Resolution

Large Bore

Multiple Clinical Scene

Cardiac Function

ECG Built in system

Workflow

Optimized & Efficient

vPixel 64 Rows Detector Next Generation Integrated Detector Design
Increases Z-axis dose efficiency.

Faster 128 channel read-out.

256 channel micro Coulomb integral
True cone beam geometric focus

64 row x 864 cell Higher Absorption Efficiency

Distinguished technics

Highest stability sensitivity

The latest integrative detector

minimize electronic noise Maximum SNR

RainBow - vBeam Optimizing Technologies
RTF - Real Time Focus
Cardiopalmus “FROZEN” Technology

0.32s(RTF)Cardiac Scan / one rotation

128 Slices CT – Designed for Cardiac Scan


  • Fast 0.32 sec Cardiac Scan
  • ECG integrated in the Gantry
  • 60msec Cardiac Temporal Resolution
  • Prospective Gating or Retrospective Gating with up to four sectors

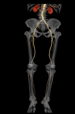
Large Bore for Wide Applications Positioning and scan flexibility for complex-type patient

76cm scan space/250kg table capacity and 21Lp/cm Resolution is easy to position obese patients comfortably without compromising dose and image quality

Cardiac Application Images

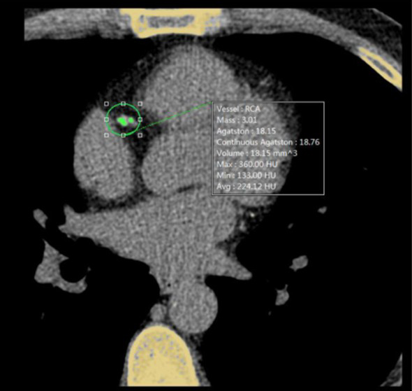
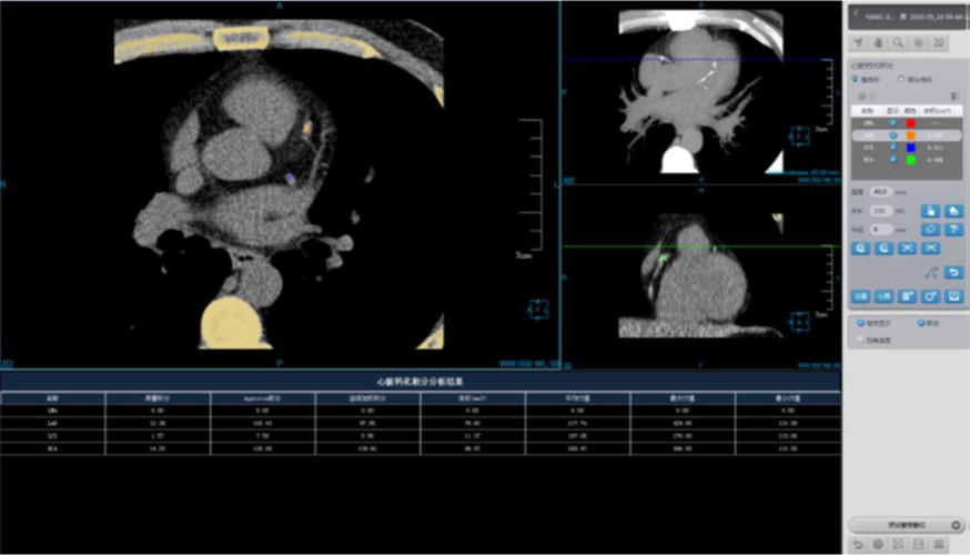
Coronary Calcium Scoring

Estimate the amount of calcium in the coronary arteries

  • Agatston score
  • Volume score
  • ROI information calculation

Cardiac Viewer Images



View heart images of each phase, execute three-dimensional reconstruction and heart extracted for CT heart images, and then view patient heart by more intuitive way, diagnosis various cardiovascular diseases.

  • Different phases data comparison
  • 4D play
  • Oblique MPR display

Cardiac Function Analysis

Analyze a variety of heart functions

  • Left ventricular volumes Ejection fraction
  • Left ventricle wall motion and thickening
  • 4D Rendering

One Station Cardiac Diagnosis Analysis

Prospective ECG-triggered Mode Advanced Diagnosis-guided solution –ECG guided Cardiac Examination

  • Prospective gating –Decrease dose by 30%
  • ClearView –Decrease dose by 50% for every heartbeat
  • Scan protocols
      120 kV, 250mA (BMI ≥25)
      100 kV , 200mA (BMI <25)

CearView + Prospective-triggering – low dose <3mSv

Model High-Pressure Injector
Gantry Aperture: 76cm
One button positioning: present 3 protocols
Scan Speed/360°: 0.48, 0.5, 0.6, 0.7, 0.8, 0.9, 1.0, 2.0s
Scan FOV: 50cm.
Tilt range: Mechanical tilt: ±30° (Step 0.5°)
Display Panel - Size: 13.3 inch, LCD: showing current scan parameters
Auto voice: Support
ECG Cable connection interface: integrated in the front of gantry Control panel
Patient Table Max. horizontal travel range: 1950mm
Horizontal scannable range: 50mm~1860mm
Horizontal travel speed: 1~200mm/s
Vertical table travel range: 425mm~990mm
Max. table load: 250Kg
One-Key patient table release: Support
Patient table cradle switches: Support
X-ray Tube Anode heat capacity: 5.3 MHU
Cooling rate: 815KHU/min
Focal spot size - Large: 1.0mm×1.0mm, Small: 0.5mm×1.0mm
Generator Power rating: 50.4KW
KV settings: 70, 80, 100, 120,140kv
mA range (Step Size): 10~420mA (1Ma step)
Detector Material: Solid-state GOS
No. of Detector rows: 60 rows
Max. number of slices/rotation: 128
No. of detector channels per row: 864
Total No. of detector elements: 55296
Min. slice thickness: 0.625mm
Detector width: 40mm
Max. data sampling rate: 4800 views/360°
Scanning Performance Scout scan: Supports 3 modes: A.P. lateral and dual, Scannable range 50~1860mm.
Acquisition modes: 128×0.625mm, 64×0.625mm, 32×0.625mm
Min slice thickness; 0.625mm
Collimation width selection: 40mm, 20mm, 15mm, 10mm.
Pitch factor: 0.2~1.75 (multiple selections)
Max. continuous scan time: 100s
Image Reconstruction Recon FOV: 50~500mm. ,50~650mm (Extended)
Recon matrices: 512×512, 768×768, 1024×1024
Recon speed: ≥40 ips, the actual speed can reach 42~28 ips
Display matrix: 1024×1024
Image Optimization Algorithm Metal artifact reduction: Standard Beam hardening artifact reduction: standard.
Partial volume artifact reduction: Standard
Steaking artifact reduction: Standard
Helical scan artifact reduction: Standard
Motion artifact reduction: Standard
Image Quality Spatial resolution: ≥ 21 lp/cm @ 0% MTF (X-Y plane) , ≥15 lp/cm@0% MTF (z plane)
Low-contrast resolution: 2mm@0.3%@ 18mGy.
Image noise: ≤0.35% (Central dose ≤40mGy)
CT HU scale
Standard: -1024HU ~ +3072HU
Extended: -32768HU ~+32767HU
Computer System CPU : Intel Xeon 6 core, 12 threads, frequency 3.8GHz, cache 8.25MB
RAM: ECC 32 GB
Hard disk: 7TB (system disk 0.3 TB+ image ,disk 1.7TB + raw data disk 5TB)
Monitor: Size: 24-inch, LCD, Resolution: 1920×1200, Brightness: 600cd/m2, Contrast: 1000:1
Images storage: ≥3,200,000 images (512×512)
External storage: DVD/CD RW, USB
Printing interface: DICOM 3.0 standard
Dose optimization Dedicated pediatric protocols: Standard.
Auto-mA: Standard
Low-contrast resolution: Standard
V-Dose check: Standard
Low dose lung screening: Standard
240° exposure: Standard
V-Beam: Standard
V-Dose report: Standard
iDream Iterative reconstruction: Standard
V-Bolus tracking: Standard
V-Bolus timing: Standard
ECG Ma modulation: Standard
Cardiac Scan Prospective ECG Scan: Support
Retrospective ECG Scan: Support
Multi-Sector Coronary Artery Scan: Self-adaptive sector with maximum support for 4 sectors
Temporal resolution: 60ms, 25ms@RTF
ECG Wave Editing: Provides editing, adding, and deleting functions for abnormal ECGs (such as premature beat) used for coronary artery recon.
Cardiac Reconstruction: Automatically selects the optimal recon phase, multiphase recon for whole sequence or a single image.